Cleanliness is key to good health, and that applies to your oral health too. Are you in search of the best scaling and polishing in Vasai Virar? Our expert dentists provide professional teeth cleaning to remove plaque, tartar, and stains, leaving you with a fresh, bright smile. Book your appointment today!
Teeth cleaning services are professional dental procedures aimed at maintaining optimal oral health. These services involve the removal of plaque, tartar, and stains from the surface of the teeth, which cannot be eliminated through regular brushing alone.
In Vasai, various dental clinics offer specialized teeth cleaning services tailored to different needs. Typically performed by qualified dental hygienists or dentists, these cleanings help prevent cavities and gum disease.
The procedure usually includes scaling and polishing, where dental tools are used to meticulously clean each tooth. Patients can also expect valuable advice on maintaining good oral hygiene practices at home.
Regular teeth cleaning in Vasai is recommended every six months to keep your smile bright and healthy. Many clinics may combine this service with a comprehensive dental exam to assess overall oral health.
Investing in professional teeth cleaning not only enhances the appearance of your teeth but also contributes significantly to your long-term dental well-being.
Scaling and polishing are essential dental procedures that significantly enhance oral health. In Vasai, these services are widely available and crucial for maintaining a bright smile.
Teeth cleaning begins with scaling, where a dentist or dental hygienist removes plaque and tartar build-up from the surfaces of your teeth. This process helps prevent gum disease and cavities, ensuring that your mouth remains healthy.
After scaling, polishing is performed to smoothen the tooth surfaces. This step not only enhances the aesthetic appeal of your teeth but also makes it more difficult for plaque to accumulate in the future.
Regular teeth cleaning and polishing appointments in Vasai can boost your confidence and promote overall well-being. Many dental clinics in Vasai offer advanced technology for a thorough cleaning experience tailored to individual needs.
Investing in these dental services allows you to enjoy long-lasting results and maintain optimal oral hygiene.
When it comes to teeth checkup services, various professionals are equipped to assist you. Dentists, particularly those specializing in general dentistry, play a vital role in providing comprehensive dental checkups. They can evaluate your oral health and recommend necessary treatments.
In addition to dentists, dental hygienists are trained specifically for tasks like teeth cleaning and polishing. These skilled practitioners often work alongside dentists and focus on preventive care, ensuring that your teeth remain free of plaque and tartar buildup.
In Vasai, numerous dental clinics offer specialized teeth cleaning and polishing services. These procedures not only enhance the appearance of your smile but also play a crucial role in preventing cavities and gum disease.
Patients seeking teeth cleaning should look for clinics that utilize modern techniques and tools to ensure optimal results. Regular visits for teeth checkups can significantly contribute to long-term oral health.
Whether you're looking for a routine checkup or more advanced dental care, trusted dentists in Vasai are available to meet your needs effectively.
![]()
I recently got my cleanings, polishing and filling done from Rajeshwari dental clinic. I must say i had a great experience right from the initial checkup to the final treatment they made the entire procedure so seamless, painless and comfortable. The staff and doctors are really very patient and extremely sweet. I highly recommend them for all your dental concerns.
![]()
I recently visited Rajeshwari Dental Clinic for a dental check-up and cleaning, and I was highly impressed with the experience. Dr. Rajeshwari and her team were professional, thorough, and attentive, taking the time to explain every step of the process. The clinic was clean and well-equipped with the latest technology, and the staff made sure all safety protocols were followed. I left feeling confident in my dental care and would highly recommend Rajeshwari Dental Clinic to anyone looking for quality dental services.
![]()
Had my filling done here for my teeth that had a deep cavity. Staff was extremely comforting and the clinic has a spiritual ambience. Dr. Rohini took extremely safe measures for whole treatment. If needed I will choose this clinic again for my dental needs.
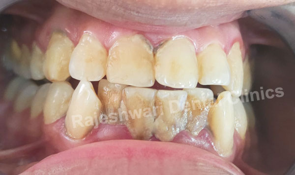
Scaling and polishing your teeth is a vital part of maintaining optimal oral health. Over time, plaque and tartar build-up can lead to cavities and gum disease. These issues are often silent until they cause significant damage, making prevention essential.
By visiting a dental clinic near by for professional scaling and polishing, you can effectively remove stubborn stains and deposits that regular brushing may miss. This process not only enhances the appearance of your teeth but also promotes healthier gums by preventing inflammation.
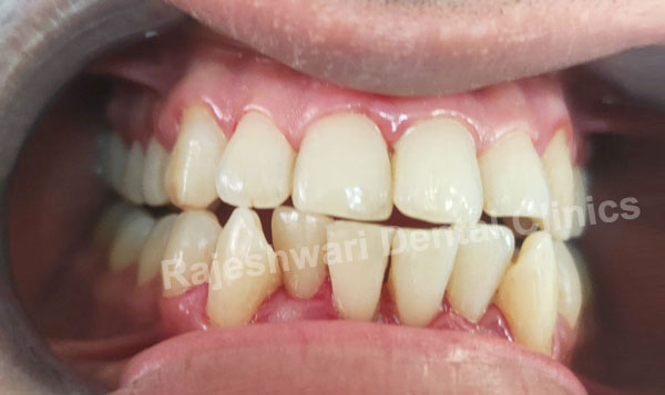
Moreover, polished teeth are smoother, which means bacteria have a harder time adhering to their surfaces. This treatment can leave your mouth feeling fresh and clean while reducing bad breath.
Incorporating scaling and polishing into your routine dental care can save you from costly procedures in the future.
Maintaining oral hygiene goes beyond daily brushing and flossing. Teeth cleaning and polishing in Vasai is a professional dental procedure designed to remove plaque, tartar, and stains from your teeth, ensuring your smile remains healthy and radiant. At Rajeshwari Dental Clinics, a reputable dental clinic in Vasai, the process of scaling and polishing involves the following steps:
The polishing process not only enhances the shine of your teeth but also makes them less susceptible to future plaque buildup. Regular scaling and polishing can contribute significantly to long-term dental health, ensuring that your smile remains bright and healthy.












Dental cleanings are an essential part of maintaining oral health. Regular visits to your dentist for teeth cleaning can help prevent cavities and gum disease. But when should you really consider scheduling that important appointment?
If it has been more than six months since your last dental cleaning, it's time to book a visit. Most dentists recommend cleanings every six months to keep plaque and tartar buildup at bay. If you notice any signs of trouble, such as bleeding gums or persistent bad breath, don't wait for your routine check-up.
Additionally, individuals with braces or other dental appliances may require more frequent cleanings due to the difficulty in maintaining optimal oral hygiene. New parents should also be mindful of their little one's dental health; kids should start seeing the dentist by age one and continue regular cleanings afterward.
Finally, if you are looking for teeth cleaning and polishing near by, take advantage of local resources. A well-known dental clinic like Rajeshwari Dental Clinics can provide comprehensive services tailored to your needs, ensuring your smile remains bright and healthy!
The cost of teeth scaling and polishing in Vasai can vary significantly based on several factors.
Teeth scaling involves the removal of plaque and tartar buildup from the surfaces of the teeth, while polishing helps to smooth the enamel and enhance overall dental aesthetics. This combination is essential for maintaining oral health and preventing gum disease.
Several factors influence the final cost, including the dental clinic's location, the dentist's experience, and whether any additional treatments are required. Upscale clinics or those offering advanced technology may charge higher fees compared to standard practices.
Additionally, some clinics might offer package deals that include a comprehensive dental check-up along with scaling and polishing at a discounted rate. It's advisable for patients to inquire about any promotional offers or membership plans that could reduce overall expenses.
Ultimately, investing in teeth scaling and polishing not only improves your smile but also contributes significantly to long-term oral health. Regular maintenance is key, so it's worth considering this service as part of your routine dental care in Vasai.
Are you searching for a reliable dental clinic in Vasai? Look no further than Rajeshwari Dental Clinics! We specialize in teeth cleaning and polishing, ensuring your smile stays bright and healthy.
Our expert team utilizes the latest techniques and state-of-the-art equipment to provide exceptional dental care. With years of experience in the field, our dentists are committed to delivering personalized treatments tailored to your needs.
At Rajeshwari Dental Clinics, we understand the importance of maintaining oral hygiene. Regular teeth cleaning is vital for preventing gum disease and cavities. Our thorough scaling and polishing procedures remove plaque and stains, leaving your teeth feeling fresh and revitalized.
Booking a teeth cleaning appointment with us means choosing comfort and quality. Our friendly staff will make you feel at ease as we work to enhance your smile. Don’t wait any longer experience top-notch dental care at Rajeshwari Dental Clinics today!
The frequency of teeth scaling and polishing largely depends on individual oral health needs, but generally, it is recommended to undergo this dental procedure every six months. For those with specific conditions such as gum disease, heavy plaque buildup, or a history of cavities, more frequent visits may be necessary—potentially every three to four months. Additionally, individuals with braces or other orthodontic appliances might also require more regular cleanings to maintain optimal oral hygiene. Ultimately, consulting with your dentist can help determine the best schedule tailored to your unique dental health situation.
Even if you have been diligent about brushing and cleaning your teeth, regular scaling and polishing are still important for maintaining optimal oral health. While good oral hygiene practices can significantly reduce plaque buildup and prevent cavities, professional dental cleanings help remove tartar that may accumulate in hard-to-reach areas. Additionally, scaling and polishing can help to smooth the surface of your teeth, making it more difficult for plaque to adhere in the future.
The machine used to clean my teeth often sounds intimidating, with its buzzing noises and whirring motions that can easily evoke a sense of anxiety. However, it’s important to remember that these devices are designed specifically for dental hygiene and are safe when used by professionals. While the sound might be unsettling, the cleaning process is meant to remove plaque and tartar without harming your teeth or gums. Dentists and hygienists are trained to use this equipment carefully, ensuring that your oral health is prioritized while minimizing any discomfort during the procedure.
Teeth scaling and polishing in Vasai is generally not considered a painful procedure, although individual experiences may vary. During the process, dentists use specialized instruments to remove plaque and tartar buildup from the teeth, which can cause some discomfort for patients with sensitive gums. However, our dental professionals take care to ensure patient comfort. Additionally, the polishing aspect of the treatment typically feels more like a gentle massage rather than an invasive procedure. Overall, while some mild discomfort might be experienced, many patients find that the benefits of improved oral health far outweigh any temporary sensations during the treatment.